Lori Logan, DDS
Personalized Care for a Lifetime of Health

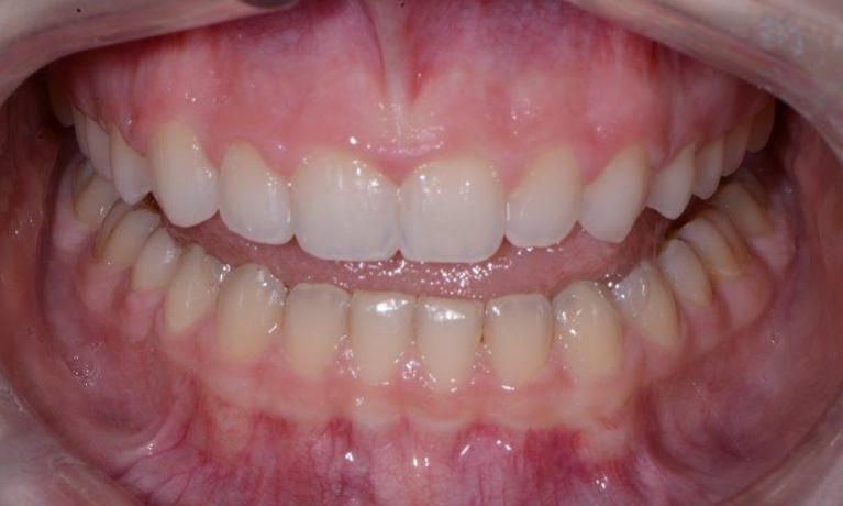
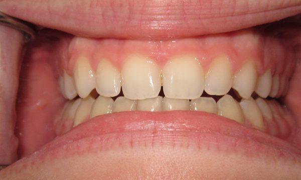
Smile Gallery

We love helping our patients achieve their healthiest, most beautiful smiles. Please take a look at some of the transformations we have created for our patients, then call us to schedule appointment and see what's possible for your smile.

To view each of our cases in split-screen format, please click on View Images under each case.

Not finding what you need?
Patient Testimonial - Sarah
If you have difficulty using our website, please email us or call us at (281) 609-7377
View the ADA Accessibility Statement